Solução de educação em patologia online
Realize a sua plataforma de educação em patologia online
Scanner de diapositivos + Software educativo + A sua visão
🎓ÓEducação em Patologia online
O ensino da patologia está a evoluir. Com as ferramentas digitais, as instituições podem agora oferecer formação imersiva e de alta qualidade a qualquer hora e em qualquer lugar.
Quem beneficia?
Escolas médicas e hospitais universitários
Programas de residência e bolsas de estudo
Fornecedores de educação continuada
Equipas de investigação e redes acadêmicas
Iniciativas globais de formação
🔬 Scanners de Slides - Monte a Sua Biblioteca Digital de Slides
As imagens de lâminas inteiras de alta resolução constituem a base de uma plataforma de educação digital bem-sucedida.
✅Digitalização rápida e precisa para conjuntos de educação e ensino
✅Capacidade de carregamento de diapositivos flexível para corresponder ao tamanho do seu programa
✅Preserve os diapositivos raros ou valiosos como ativos digitais permanentes
✅Permitir o acesso a qualquer momento aos instrutores e alunos
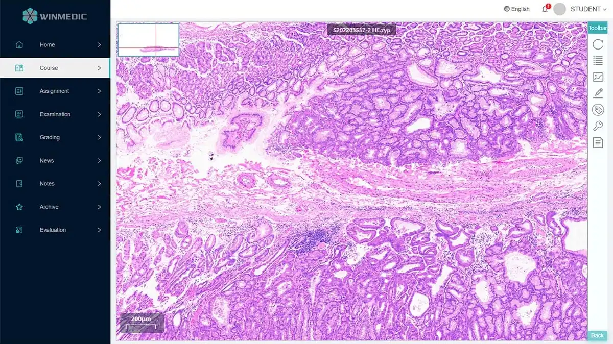
💡 WinEdu - Software Educativo
Ensino Online Inteligente e Formação Interativa
O WinEdu é a sua sala de aula virtual para patologia, combinando ensino ao vivo, partilha de casos e ferramentas de avaliação numa plataforma segura.
✅ Acesso on-demand a slides digitais
✅ Crie questionários interativos, notas e discussões
✅ Gestão de utilizadores baseada em funções para professores e alunos
✅ Compatível com os principais formatos de diapositivos
✅ Aprendizagem em dispositivos móveis, tablets ou desktops — flexível e acessível
🔗 Capacite a sua equipa de ensino. Inspire os seus alunos.
Leve o ensino da patologia para a era digital com soluções criadas para a clareza, colaboração e alcance global.



